آرتروز لگن یا ساییدگی مفصل ران مهمترین بیماری این مفصل است. در ساییدگی لگن غضروف مفصلی نازک و خراب میشود و به دنبال آن استخوان اطراف مفصل هم دچار تخریب و سایش میگردد. مهمترین علامت این بیماری درد کشاله ران و لنگش و محدودیت حرکتی است.
سوالات خود در مورد این مقاله را مستقیما از دکتر منصوری با کلیک بر روی آیکون سبز رنگ در پایین سمت چپ صفحه بپرسید.
نکته مهم که باید به آن توجه داشت این است که مهمترین مفصل لگن مفصل ران است و در آرتروز لگن در واقع این مفصل ران است که دچار ساییدگی و خرابی میشود. به آرتروز یا ساییدگی لگن، استئوآرتریت لگن Osteoarthritis هم میگویند.
اگر فعلا فرصت خواندن مقاله را ندارید میتوانید فیلم زیر را ببینید.
آرتروز لگن چیست
هر مفصل از دو استخوان تشکیل شده که در کنار یکدیگر قرار گرفته و نسبت به هم حرکت میکنند. برای راحت تر شدن این حرکت و کاهش اصطکاک، محل تماس این دو استخوان باید صاف و لغزنده باشد و این وظیفه به عهده غضروف است. مفصل ران هم همین خاصیت را دارد.
غضروف لایه ای نرم و ارتجاعی به رنگ سفید براق است که روی استخوان ها را در محلی که مفصل را تشکیل میدهند میپوشاند. بر روی سر استخوان ران و درون حفره استابولوم که مفصل ران را درست کرده اند لایه ای از غضروف وجود دارد.
با افزایش سن و با شروع روند پیری، همانگونه که پوست چروکیده میشود و رنگ مو به سفیدی میگراید تغییراتی در غضروف مفصلی نیز اتفاق میفتد که مهمترین آنها نازک شدن لایه غضروفی و تغییر جنس غضروف است.
با بروز این تغییرات غضروف دیگر آن شادابی و خاصیت ارتجاعی و کلفتی کافی برای محافظت از مفصل را ندارد و نتیجه آن، کاهش حرکت یا خشکی مفصل و درد مفصلی است.
به این روند خراب شدن غضروف، آرتروز لگن یا ساییدگی مفصل ران میگویند. گاهی برای توصیف بیماری از لفظ آرتروز ران استفاده میشود که منظور همان آرتروز مفصل ران است.
همانطور که گفتیم این اتفاقات، قسمتی از روند طبیعی افزایش سن است ولی در افراد مختلف شدت و ضعف دارد.
در بعضی افراد زودتر ایجاد شده و یا شدیدتر است و بعضی دیگر از افراد آن را کمتر یا دیرتر تجربه میکنند. بعضی عوامل مانند وزن زیاد یا انجام کارهای بدنی یا ورزش های خاص میتوانند این روند را تسریع کنند.
گاهی اوقات شدت آرتروز لگن متناسب با سن بیمار نیست و تنها در این زمان است که میتوان به این روند نام بیماری را اطلاق کرد.
آرتروز لگن در زنان بیشتر از مردان دیده میشود و بعضی عوامل مانند شکستگی ها و یا عفونت ها و یا دیگر بیماریهای استخوانی میتوانند ایجاد آن را سرعت دهند.
استئوآرتریت یا آرتروز یکی از شایعترین علل درد اندام در انسان ها است و ممکن است زمینه خانوادگی داشته باشد. یکی از مفاصل مستعد آرتروز، مفصل ران یا هیپ است که ممکن است به علت نیروها و فشارهای زیادی باشد که به این مفصل وارد میشود.
علت ساییدگی لگن چیست

گفتیم با بالا رفتن سن بطور طبیعی ممکن است مفصل لگن ساییده شود ولی بعضی بیماری ها هم هستند که موجب میشوند این اتفاق زودتر و در سنین پایینتر ایجاد شود.
مهمترین عللی که موجب بروز آرتروز لگن میشوند را در زیر بطور محتصر توضیح میدهم.
آرتروز لگن بدنبال دررفتگی مادرزادی در ناحیه مفصل ران
این بیماری که به آن دیسپلازی مفصل ران هم میگویند بیشتر در زنان دیده میشود. در این بیماری حفره استابولوم گودی کافی را نداشته و نمیتواند بطور کامل سر استخوان ران را در خود جای دهد و حمایت کند.
نتیجه اینست که انتقال و توزیع نیروی وزن در مفصل ران به درستی صورت نمیگیرد. به بعضی از قسمت های غضروف استابولوم و سر استخوان ران فشار بیش از حد وارد میشود و در نتیجه مفصل ران دچار تخریب و ساییدگی و آرتروز میشود.
ساییدگی لگن به علت ایمپینجمنت
در این بیماری به علت تغییر شکل هایی که در شکل استخوان مفصل ران ایجاد شده است، سر و گردن استخوان ران در موقع حرکت کردن در داخل حفره استابولوم، به لبه آن گیر میکند و این روند در دراز مدت موجب وارد آمدن فشارهای زیاد به مفصل میشود. نتیجه آن بروز آرتروز لگن و خراب شدن مفصل است.
آرتروز لگن به علت نکروز شدن سر استخوان ران
در بیماری سیاه شدن مفصل لگن، سر استخوان ران بتدریج نرم شده و قدرت و سفتی خود را از دست میدهد. این استخوان نرم شده زیر فشار وزن تنه که در هنگام راه رفتن به آن وارد میشود بتدریج تغییر شکل میدهد.
بدنبال این تغییر شکل، هماهنگی و یکنواختی که بین سر استخوان ران و حفره استابولوم وجود دارد از بین رفته و بر اثر سایش این دو استخوان بر روی هم، ساییدگی یا آرتروز لگن و مفصل ران بوجود میاید.
آرتروز لگن به علت بد جوش خوردن شکستگی های ناحیه لگن
شکستگی هایی که در حفره استابولوم و یا سر و گردن استخوان ران ایجاد میشوند جزء دسته کلی به نام شکستگی های ناحیه لگن هستند.
بد جوش خوردن این شکستگی ها موجب میشود سطح صاف و یکنواخت بین حفره استابولوم و سر استخوان ران از بین برود و سایش این دو سطح ناهموار در بلند مدت موجب ساییدگی و بروز علائم آرتروز لگن و مفصل ران میگردد.
آسیب به غضروف مفصل ران بدنبال ضربه موجب بروز علائم آرتروز لگن میشود
بدنبال ضربات شدیدی ( مانند سقوط از ارتفاع یا تصادف وسایل نقلیه) که به مفصل ران وارد میشود ممکن است حتی بدون اینکه شکستگی در مفصل ایجاد شده باشد غضروف سر استخوان ران یا غضروف حفره استابولوم آسیب ببیند.
آسیب این غضروف، سطح صاف و لغزنده بین دو استخوان را از بین برده و بر اثر سایش مکرر سطوح مفصلی، در بلند مدت ساییدگی یا آرتروز لگن ایجاد میشود.
ساییدگی مفصل لگن به علت عفونت مفصل ران
عفونت های مفصل ران میتواند موجب از بین رفتن غضروف سر استخوان ران یا غضروف حفره استابولوم شود. با از بین رفتن غضروف مفصلی ساییدگی و ساییدگی مفصل لگن ایجاد میشود.
آرتروز چه تغییراتی در مفصل ایجاد میکند

عللی که موجب بروز ساییدگی و آرتروز لگن میشوند در ابتدا تنها تغییراتی در غضروف مفصلی ایجاد میکنند. مهمترین این تغییرات نازک شدن لایه غضروفی و تغییر جنس غضروف است.
بدنبال تغییر در غضروف، استخوان زیر آن سخت و محکم و کلفت میشود و گاهی در درون آن کیست های کوچکی بوجود میاید. بتدریج در لبه مفصل استخوان های اضافه ای رشد میکنند که به آنها استئوفیت Osteophyte میگویند. کم کم ساییدگی استخوان لگن هم ایجاد میشود.
کپسول مفصلی هم بتدریج ضخیم و کلفت شده و خاصیت ارتجاعی خود را از دست میدهد.
علائم آرتروز لگن چیست
اولین علائم آرتروز خفیف لگن احساس خشکی و ناراحتی گنگی در ناحیه کشاله ران و باسن و یا حتی ناحیه ران است. این مشکلات بخصوص در صبح وقتی بیمار از خواب بیدار میشود بیشتر است و ممکن است بتدریج در طول روز کمتر شود.
بتدریج با شدت یافتن بیماری، این احساس خود را بصورت یک درد در کشاله ران نشان میدهد. درد در هنگام فعالیت های بدنی شدیدتر شده و با کمی استراحت بهتر میشود.
با شدیدتر شدن آرتروز لگن، درد دیگر حتی با استراحت هم خوب نشده و حرکت مفصل بشدت کم میشود به عبارت دیگر مفصل خشک میش ود.
بتدریج ممکن است بیماری آنقدر شدید شود که لایه غضروفی کاملا از بین رفته و در سطح مفصل، استخوان روی استخوان حرکت کند.
در این وضعیت علائم آرتروز لگن و ران شدت گرفته و حرکت مفصل بطور طاقت فرسایی دردناک میشود و توانایی خم و راست شدن ران و یا چرخش ران بشدت کم میگردد.
بیمار برای کاهش شدت درد مجبور میشود اندامش را کمتر حرکت بدهد و کمتر راه برود و همین امر موجب میشود بتدریج عضلات اطراف ران و باسن ضعیف شده که نتیجه آن ایجاد لنگش در حین راه رفتن است
در موارد پیشرفته آرترزو لگن، ممکن است طول اندام تحتانی کاهش یابد.
بیمار مبتلا به ساییدگی لگن و مفصل ران در حین راه رفتن میلنگد. علت این بد راه رفتن میتواند درد، ضعف عضلات لگن، محدودیت حرکت مفصل و کوتاهی اندام باشد.
در بسیاری اوقات آرتروز لگن و کمر با هم وجود دارند. در این موارد درد ناحیه لگن هم میتواند به علت ساییدگی لگن ایجاد شده باشد و هم میتواند به علت آرتروز و خرابی مهره های کمری باشد و منشا دوگانه دارد.
تشخیص آرتروز لگن چگونه است
برای تشخیص آرتروز لگن، پزشک ابتدا با شما در مورد علائمی که احساس میکنید صحبت کرده و در باره شدت و زمان شروع و دیگر خصوصیات آن اطلاعاتی از شما کسب میکند.
سپس اقدام به معاینه مفصل ران شما بصورت خم و راست کردن و چرخاندن آن کرده تا مقدار حرکت مفصل و شدت درد را متوجه شود. او راه رفتن شما را میبیند تا متوجه شود آیا شما لنگش دارید یا خیر.
در نهایت، روش های تصویر برداری مثل رادیوگرافی به تشخیص بیماری کمک میکند. مهمترین روش تصویربرداری برای تشخیص ساییدگی لگن رادیوگرافی ساده است. تشخیص این بیماری نیاز به سی تی اسکن یا ام ار آی ندارد.
در تصویر رادیوگرافی از مفصل، چون غضروف نازک شده است فاصله مفصلی یا فاصله بین دو استخوانی که مفصل را تشکیل داده اند و در حد چند میلیمتر است کاهش پیدا میکند و در کناره های استخوان های تشکیل دهنده مفصل استخوان اضافی دیده میشود.
همچنین ممکن است کیست های استخوانی در بالای استابولوم یا در سر استخوان ران دیده شود.
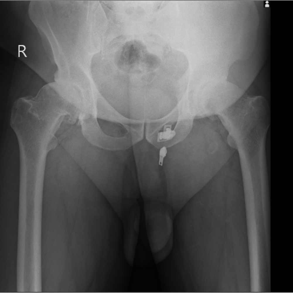
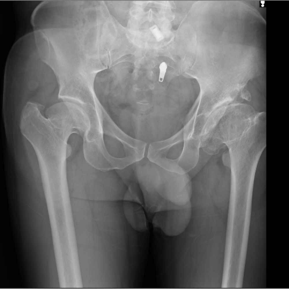
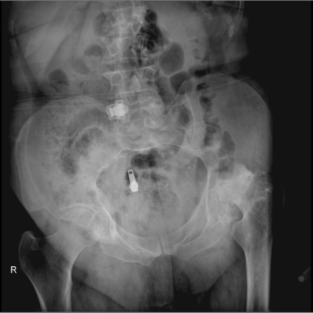
در زیر تصاویری از عکس ساییدگی لگن در چند بیمار را میبینید. با کلیک بر روی هر کدام تصویر بزرگتری از آن را خواهید دید.









درمان آرتروز لگن چگونه است

روند استئوآرتریت یا آرتروز لگن قابل برگشت نیست ولی میتوان تا حدی مانع از پیشرفت آن شد. به بیان دیگر وقتی یک مفصل سائیده شده است به وضعیت قبلی خود برنمیگردد.
هدف از درمان آرتروز لگن کاهش درد و دیگر مشکلات بیمار و کند کردن روند پیشرفت بیماری است. برای این کار پزشک ممکن است از اقدامات غیر جراحی استفاده کرده یا اقدام به عمل جراحی کند.
درمان خانگی آرتروز لگن
در مراحل اولیه آرتروز مفصل لگن و هنگامی که شدت تخریب غضروف مفصل کم است درمان خانگی آرتروز لگن میتواند کمک کننده باشند و درد بیمار را کاهش دهند. این درمان ها عبارتند از:
♦ از اعمال فشارهای زیاد به مفصل ران پرهیز کنید. کارهایی مثل نشست و برخاست زیاد بخصوص بر روی زمین، استفاده زیاد از پله، راه رفتن زیاد روی زمین های شیب دار، استفاده از توالت های سنتی و بلند کردن اشیاء سنگین مضر بوده و درد را تشدید کرده و سرعت پیشرفت بیماری را هم بیشتر میکند.
♦ ورزشهای ملایم مانند شنا کردن و راه رفتن در استخر و دوچرخه در درمان خانگی آرتروز لگن نقش موثری دارند. تاثیراین ورزش ها بر روی آرتروز عمدتا با مکانیسم تقویت عضلات لگن و ران و بهتر کردن حرکات مفصل است.
♦ از داروهای ضد درد و ضد التهاب مثل بروفن یا دیکلوفناک یا سلکوکسیب برای کاهش علائم آرتروز لگن و ران استفاده میکنند. البته آمپول یا قرص مخصوص آرتروز لگن وجود ندارد. این داروها فقط میتوانند قدری از درد بیمار را کاهش دهند.
بعضی بیماران فکر میکنند ساییدگی درمان دارویی دارد و بدنبال بهترین دارو یا قرص مخصوص آرتروز لگن خود هستند ولی همینطور که از توضیحات این بخش متوجه شده اید این بیماری را تنها گاهی اوقات آنهم نه به توسط یک دارو بلکه فقط میتوان به توسط مجموعه ای از اقدامات کنترل کرد.
♦ به اندازه کافی بخوابید.
♦ اگر وزنتان زیاد است باید حتما با کمک پزشک آنرا کاهش دهید. کاهش وزن، هم شدت درد شما را کم کرده و هم پیشرفت بیماری را کند میکند.
♦ در صورت نیاز در موقع راه رفتن از عصا استفاده کنید.
♦ لگن خود را گرم نگه دارید. در زمستان شلوار گرم کن بپوشید. در تابستان جلوی باد مستقیم کولر و پنکه قرار نگیرید. در مواقعی که شدت درد افزایش میابد با استفاده از گرمای موضعی میتوانید شدت درد را کاهش دهید. گرمای موضعی را میتوانید از حوله گرم، کیسه آب گرم یا حوله برقی بدست آورید.
♦ در موارد خاصی ممکن است پزشک معالج با تجویز خوراکی داروهای ضد التهاب یا با تزریق داروهای کورتیکوستروئیدی در داخل مفصل ران شدت درد را کاهش دهد.
درمان ساییدگی لگن. جراحی

در مواردی که شدت آرتروز لگن آنقدر زیاد باشد که اقدامات فوق نتواند درد بیمار را کاهش دهد میتوان از درمان های جراحی استفاده کرد.
اگر شدت آرتروز متوسط باشد
در مواردی که شدت تخریب مفصل زیاد نباشد و قسمت هایی از مفصل آزرده بوده و قسمت هایی دیگر سالم باشد میتوان از روش های استئوتومی استفاده کرد. استئوتومی به معنای برش دادن استخوان است.
در این روش با استفاده از ابزارهای خاص، استخوان لگن یا استخوان بالای ران را در قسمت های معینی برش داده و سپس استخوان را در وضعیت جدیدی قرار داده و با پیچ و پلاک در وضعیت جدید محکم میکنند.
بعد از مدتی استخوان در وضعیت جدید جوش میخورد. پس هدف از این نوع جراحی تغییر وضعیت استخوان است. و هدف از این تغییر وضعیت اینست که توزیع نیروهایی را که به مفصل ران وارد میشود تغییر دهیم.
این کار موجب میشود به قسمت هایی از مفصل ران که ساییدگی دارد نیروی کمتری وارد شود و یا ممکن است موجب شود تا نیروی وزن به سطح مفصلی وسیعتری توزیع شده و فشار کمتری به مفصل وارد شود. با این کار شدت درد کاهش یافته و سرعت پیشرفت آرتروز هم کم میشود.
انواع مختلفی از اعمال جراحی استئوتومی برای لگن و مفصل ران وجود دارند که استفاده از هر کدام از آنها بسته به سن و میزان تغییر شکل مفصل متفاوت است. معمولا در سنین پائین از استئوتومی سالتر و در سنین بالا از استئوتومی گنز استفاده میشود.
با انجام اعمال جراحی استئوتومی میتوان از شدت درد و محدودیت حرکات کم کرده و پیشرفت بیماری را کند کرد. بسته به محل آسیب میتوان از استئوتومی استابولوم یا استئوتومی های بالای استخوان ران کمک گرفت.
از این نوع روش درمان ساییدگی مفصل ران معمولا در دیسپلازی های این مفصل استفاده میشود.
اگر شدت آرتروز زیاد باشد
وقتی شدت آرتروز لگن زیاد بوده و تمام غضروف مفصل را درگیر کرده باشد پزشک معالج اقدام به تعویض مفصل کرده و یک مفصل مصنوعی را جایگزین مفصل هیپ میکند. در این عمل جراحی هم استابولوم و هم سر استخوان ران تعویض میشود.
خرابی مفصل ران شایعترین علت کارگذاری مفصل مصنوعی در ناحیه لگن در همه جهان است.
مهمترین و اصلی ترین علت خرابی مفصل ران که موجب درد شدید لگن میشود هم ساییدگی لگن است. این درد را میتوان بطور کامل با انجام جراحی تعویض مفصل از بین برد.
در واقع میتوان گفت عمل جراحی تعویض مفصل کارا ترین روش از بین بردن مشکلات ناشی از آرتروز و ساییدگی لگن است.
در عمل جراحی تعویض مفصل استخوان های تشکیل دهنده مفصل از بدن خارج شده و با اجزاء مصنوعی جایگزین میگردند.
در این نوع از عمل جراحی سر و قسمتی از گردن استخوان ران خارج شده و سپس سطح داخلی استابولوم کاملا تراش داده میشود تا به شکل یک نیمکره کامل درآید.
سپس در داخل این نیمکره استخوانی یک نیمکره فلزی قرار داده شده و محکم میشود. درون این نیمکره فلزی یک نیمکره دیگر از جنس پلی اتیلن یا فلز و یا سرامیک قرار داده میشود.
از طرف دیگر بجای سر استخوان ران یک سر فلزی یا سرامیکی گذاشته میشود. با قرار گرفتن سر و کاسه مصنوعی در کنار هم مفصل مصنوعی تشکیل میشود.
تعویض مفصل موجب میشود تا درد ناحیه لگن با منشا مفصل ران از بین برود.
در زیر میتوانید مراحل جراحی تعویض کامل مفصل ران را در یک انیمیشن ببینید.
آرتروز لگن و پیاده روی
آرتروز لگن و پیاده روی با هم منافاتی ندارند و نمیتوان فرد مبتلا به ابن بیماری را از پیاده روی منع کرد ولی البته در آرتروزهای شدید پیاده روی میتواند درد را بیشتر کند.
درمان آرتروز لگن با ورزش به تنهایی البته امکانپذیر نیست ولی بعضی ورزش ها میتوانند به کاهش درد آرتروز کمک کنند. یکی از این ورزش ها شنا است. در واقع بهترین ورزشی که میتواند به کنترل درد ناشی از آرتروز و ساییدگی لگن کمک کند شنا و راه رفتن در آب است.
این ورزش موجب میشوند عضلات لگن تقویت شوند و با تقویت این عضلات فشار کمتری به مفصل وارد شده و درد آن کمتر میشود.
برخلاف تصور رایج پیاده روی طولانی برای ساییدگی لگن ورزش خیلی مناسبی نیست. البته این بدان معنی نیست که فرد مبتلا به این بیماری نباید راه برود ولی پیاده روی زیاد، کمکی به کاهش درد ناشی از ساییدگی نمیکند.
پس در فرد مبتلا به آرتروز لگن پیاده روی به منظور کمک به درمان آن آنچنان کمک کننده نیست ولی بیمار مبتلا به آرتروز باید روزانه در حد معقولی راه برود تا توان بدنی خود را در حد متعادلی حفظ کند.
درمان ساییدگی لگن در طب سنتی
خیلی از بیماران در مورد درمان ساییدگی لگن در طب سنتی سوال میکنند و اینکه آیا میتوان با این روش کمکی به درمان بیماری کرد یا خیر.
توجه داشته باشید که طب سنتی بیشتر درمان علامتی انجام میدهد. حکمای بزرگ طب سنتی ما مانند بوعلی سینا یا زکریای رازی اطلاعی از عللی که موجب درد در ناحیه لگن میشوند نداشته اند. آنها تنها دردی که در لگن حس میشده است را درمان میکرده اند. پس صحبت از درمان خانگی ساییدگی لگن با طب سنتی حرف دقیقی نیست و بجای آن شاید بتوان از درمان دردهای لگن در طب سنتی صحبت کرد.
دکتر مهرداد منصوری
متخصص جراحی استخوان و مفاصل، ارتوپد، جراح لگن و مفصل ران
فارغ التحصیل ممتاز پزشکی عمومی و تخصص ارتوپدی از دانشگاه تهران. دارای بورد تخصصی سال 1997
دوره فلوشیپ لگن و مفصل ران در آلمان. دوره تکمیلی شکستگی لگن در دانشگاه واشنگتن امریکا
دارای سابقه انجام موفق چند هزار جراحی تعویض مفصل
نشانی مطب: تهران. سعادت آباد. میدان سرو. ابتدای خیابان بخشایش. نبش خیابان بهار یکم. ساختمان بخشایش. تلفن 22140231-021
